
IFLScience
shared a link post in group #IFLScience

www.iflscience.com
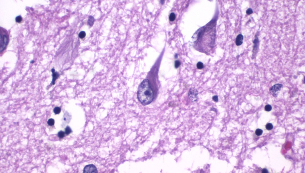
Alzheimer’s-Linked Protein Levels “20 Times Higher” In Newborn Babies – What Does This Mean?
We spoke to the first author of a new study that could challenge much of what we thought we knew about Alzheimer’s disease.
