
IFLScience
shared a link post in group #IFLScience

www.iflscience.com
New Type Of Lethal Fungus That Is “Serious Threat” To Public Health Discovered
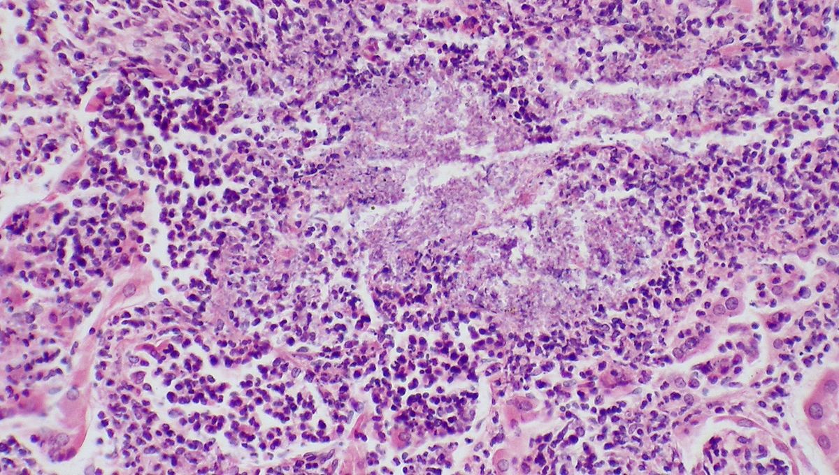
Candida auris is an often drug-resistant and sometimes deadly fungal pathogen.

IFLScience

shared a link post in group #IFLScience

www.iflscience.com
New Type Of Lethal Fungus That Is “Serious Threat” To Public Health Discovered
Candida auris is an often drug-resistant and sometimes deadly fungal pathogen.
Comment here to discuss with all recipients or tap a user's profile image to discuss privately.
<div data-postid="xbqrqaz" [...] </div>