
IFLScience
shared a link post in group #IFLScience

www.iflscience.com
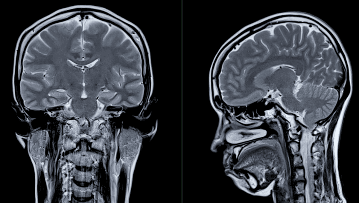
People Are Sharing Scans Of Gaps In Their Brains On Reddit
The remarkable science of brain plasticity.

IFLScience

shared a link post in group #IFLScience

www.iflscience.com
People Are Sharing Scans Of Gaps In Their Brains On Reddit
The remarkable science of brain plasticity.
Comment here to discuss with all recipients or tap a user's profile image to discuss privately.
<div data-postid="gzgwaog" [...] </div>