
IFLScience
shared a link post in group #IFLScience

www.iflscience.com
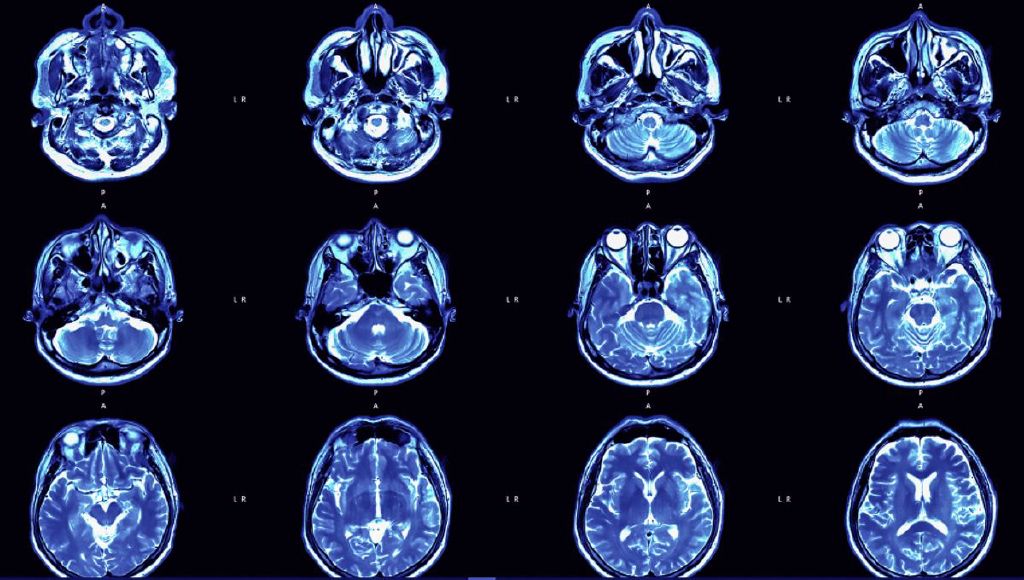
Brain Abscesses Have Skyrocketed In US Children In Last 2 Years, CDC Says
Cases have risen since the easing of pandemic restrictions.

IFLScience

shared a link post in group #IFLScience

www.iflscience.com
Brain Abscesses Have Skyrocketed In US Children In Last 2 Years, CDC Says
Cases have risen since the easing of pandemic restrictions.
Comment here to discuss with all recipients or tap a user's profile image to discuss privately.
<div data-postid="zprbpmo" [...] </div>